近日,湖南省职业病防治院收治了一名货车司机,因不慎吸入油箱柴油被送医急救。入院时,患者已是胸痛、高热、呼吸困难。所幸,经医院肺灌洗、抗感染等治疗,郑师傅病情得到有效控制,待症状完全消失,治愈成功即可出院。
郑师傅家住岳阳汨罗。近日,他开着货车往返跑长途中,货车的油箱坏了,由于货物要求及时送达,着急的郑师傅就想直接用嘴从油箱内吸点柴油出来,一时不慎,柴油被吸入了肺里,短短的时间里,郑师傅就出现了高热、胸痛及呼吸困难等症状。

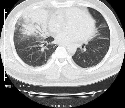
治疗前
被人紧急送往医院抢救,经检查,患者的氧分压59mmHg,正常人的数值在80 mmHg,且双肺CT照片提示有病变及实变。所幸经医师治疗,在肺灌洗、抗感染等综合对症治疗后,郑师傅的病情逐渐缓解,随后治愈成功即可出院。

治疗后
医师介绍:柴油(汽油)是一种脂溶性有机溶剂,不溶于水,易挥发易燃。若不慎吸入呼吸道,会进入血液,经循环分布到身体各个器官,然后又会以原型从肺部呼出,极易对肺泡起到直接烧灼刺激并腐蚀,导致肺泡充血、水肿、坏死,临床上表现为咳血、胸痛、呼吸困难。
由于有很好的去脂作用,吸入高浓度蒸汽后,将导致细胞内脂平衡障碍,产生中枢神经系统麻醉的效果,表现出头晕、头痛、步态不稳、 震颤、心悸、意识丧失等症状;进入消化道后还可表现出频繁呕吐、腹泻及胸骨后烧灼感。
医师提醒:司机朋友可要注意了,切记不要轻易用嘴去虹吸油箱,若将柴油(汽油)吸入胃内或误吸肺内,进而会造成消化道或肺部损伤,若不能及时接受治疗,将严重导致各种后遗症,甚至危及生命。出门在外,安全是关键。
通讯员:湖南省职业病防治院 黄春桃
近日,湖南省职业病防治院收治了一名货车司机,因不慎吸入油箱柴油被送医急救。入院时,患者已是胸痛、高热、呼吸困难。所幸,经医院肺灌洗、抗感染等治疗,郑师傅病情得到有效控制,待症状完全消失,治愈成功即可出院。